TPLO
Een voorste kruisband ruptuur/scheuring is een frequent voorkomende aandoening bij de hond en soms bij de kat. Artrose in de knie komt veel voor en wordt vaak veroorzaakt door een gedeeltelijke (partiële) of volledige scheuring van de voorste kruisband. Al enkele weken na de ruptuur starten de processen in het gewricht waardoor artrose ontstaat. Een behandeling van de knie om deze artrose ontwikkeling te voorkomen en de kniefunctie optimaal te houden is dus van groot belang.
TPLO Hond en kat
Bij Dierenkliniek Beneden Leeuwen wordt de chirurgische behandeling TPLO (Tibial Plateau Leveling Osteotemie) toegepast bij een voorste kruisband scheuring. Bij Dierenkliniek Beneden Leeuwen zal er altijd eerst een artroscopie van de knie gedaan worden voordat de TPLO gestart wordt.
Een voorste kruisband ruptuur/scheuring is een frequent voorkomende aandoening bij de hond en soms bij de kat. Artrose in de knie komt veel voor en wordt vaak veroorzaakt door een gedeeltelijke (partiële) of volledige scheuring van de voorste kruisband. Al enkele weken na de ruptuur starten de processen in het gewricht waardoor artrose ontstaat. Een behandeling van de knie om deze artrose ontwikkeling te voorkomen en de kniefunctie optimaal te houden is dus van groot belang.
Oorzaak
Er zijn verschillende groepen van patiënten waarbij de voorste kruisband scheurt.
- Er zijn patiënten waarbij door trauma (korte draai tijdens het lopen of bij plots overstrekken) de voorste kruisband scheurt.
- Op middelbare leeftijd (3-7 jaar) het plots ontstaan, zonder duidelijk aantoonbare oorzaak. Vaak beiderzijds, bij onderzoek is gebleken dat er veranderingen in de kruisband aanwezig zijn die zorgen voor minder kwaliteit van de vezels en daardoor sneller scheuren.
- Daarnaast zijn er hondenrassen onder andere Berner Sennen, Rottweiler, Labrador, New foundlander, Stafford (meestal vanaf 1 jaar leeftijd) met een voorgeschiedenis van terugkerend mild kreupel lopen, rassen met een steile stand van de knie.
Letsel van de kruisband hebben meestal te maken met overbelasting, er zijn echter een paar factoren die zorgen dat de belasting op de voorstekruisband meer is dan normaal.
1) Patella luxatie, doordat de knieschijf naast haar normale groeve ligt, komt er meer kracht op de kruisband, waardoor deze kan beschadigen.
2) Verschil in bouw van de patiënt, bijvoorbeeld een hoek van het kniegewricht, steile stand van de knieën, overgewicht, enz.
3) Immuun gemedieerde oorzaken, dit zou een mogelijke oorzaak kunnen zijn van een verminderde kwaliteit van de kruisband en daardoor verhoogd het risico van scheuren van de voorste kruisband.
In 40 tot 60 procent van de gevallen is de oorzaak in beide kniegewrichten aanwezig en krijgen de patiënten binnen twee jaar een gescheurde kruisband in de andere knie.
Bouw en functie knie
De kruisbanden zitten in de knie tussen de twee dijbeen rolkammen. Ze heten kruisbanden, omdat ze zowel zijdelings als in vooraanzicht met elkaar kruisen. De voorste kruisband is de belangrijkste voor de stabiliteit in de knie. Deze belet de verplaatsing naar voren, rotatie van de knie en overstrekken van het scheenbeen.
Tussen het bovenbeen (femur) en onderbeen (tibia) zitten twee kraakbeenplaatjes (menisci) die als stootdempers dienen in het knie gewricht.
De menisci dienen als stootkussens tussen boven- en onderbeen. Wanneer ze beschadigen is dat heel pijnlijk. Door de gewichtsverdeling krijgt de binnenmeniscus (mediale meniscus) meer druk te verduren dan de buitenmeniscus. Daardoor is het meestal de binnenmeniscus die beschadigd raakt.
Diagnose TPLO
Om vast te stellen of een kruisband totaal gescheurd is, zal een (klinisch) onderzoek aan de hond moeten plaatsvinden. De voorste kruisband kan geheel of gedeeltelijk gescheurd zijn. Bij een totale scheuring kan de diagnose door middel van twee testen gesteld worden: de tibia compressietest en het schuiffenomeen. Hierbij wordt gekeken of het onderbeen abnormaal ver naar voren kan bewegen ten opzichte van het bovenbeen. De kruisband verhindert namelijk dat het onderbeen (tibia) naar voren kan schuiven ten opzichte van het bovenbeen.
Op een röntgenfoto is vaak zichtbaar of boven- en onderbeen ten opzichte van elkaar verschoven zijn. Bij een gedeeltelijke scheuring is die abnormale beweging of verplaatsing er niet. Het is van belang te weten hoe ernstig het gewricht ontstoken is en hoeveel botwoekering (artrose) al is opgetreden. Botwoekeringen zijn op een röntgenfoto zichtbaar. De artrose kan niet verwijderd worden.
De mate van ontstekingen, beschadiging van het gewrichtsslijmvlies en kraakbeen is bij de operatie te beoordelen. Drie dagen na het scheuren begint het gewricht al microscopische veranderingen te vertonen. De binnenmeniscus kan scheuren of dubbelklappen. De menisci zijn goed te inspecteren tijdens de operatie. Dan kan de binnenmeniscus behandeld worden als dat nodig is.
Therapie TPLO
Bij een gedeeltelijke kruisbandscheuring kan met pijnstillers en ontstekingsremmers worden getracht de hond weer in de benen te krijgen. Meestal loopt de hond dan weer goed na 10-14 dagen. Toch zal in veel gevallen een gedeeltelijke kruisbandscheuring ook leiden tot een totale scheuring, waarna een operatie altijd noodzakelijk is.
Hoe langer wordt gewacht met een operatie, des te ernstiger wordt de artrose van het gewricht. Dit vertraagt vaak de revalidatie van de hond na een operatie. Ook het risico van scheurtjes in de meniscus wordt groter naarmate een (gedeeltelijke) kruisbandscheuring langer bestaat. Door een (gedeeltelijke) scheuring van de kruisband ontstaat meer ruimte en beweeglijkheid in het kniegewricht, waardoor tijdens het lopen gemakkelijk scheurtjes in de meniscus ontstaan. Tijdens een operatie zal van deze beschadigde meniscus dan een gedeelte verwijderd moeten worden.
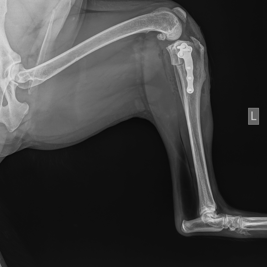
Operatieve behandelingsmogelijkheden o.a. TPLO
Er zijn verschillende operatieve behandelmethoden bij de instabiliteit van de knie door voorstekruisbandscheuring. Bij Dierenkliniek Beneden Leeuwen worden zowel de TTA rapid als de TPLO met regelmaat uitgevoerd bij patiënten.
De TPLO (Tibial Plateau Leveling Osteotomy) techniek is gebaseerd op het wegnemen van de voorwaartse stuwkracht van het scheenbeen door de helling van de bovenkant (plateau) van het scheenbeen te verminderen. Hierdoor verdwijnt bij een normale beweging van de knie de belasting op de voorste kruisband. Door middel van de TPLO zal dus een evenwicht tussen gewichtsbelasting en de actieve spierkrachten ontstaan en is er verder geen extra behandeling voor de stabiliteit van de knie noodzakelijk.
TPLO bij kleine honden kleiner dan 15 kg kan er met een (nylon of E fiber draad) stabiliteit gegeven worden. Daarbij wordt er een draad buiten het gewricht om aangelegd, waardoor stabiliteit van de knie aangelegd. Een nieuwere techniek (zaag techniek) is de TPLO , dit geeft een snellere revalidatie. Bij kleine honden is dit vaak de enige zaagtechniek die gedaan kan worden doordat kleine honden vaak een grote hoek in de knie hebben.
Bij midden grote honden zijn zowel de TTA (rapid) als de TPLO prima technieken om de hond met gescheurde kruisband mee te behandelen. Echter, als de hoek van de knie (TPA= tibia plateau angle) te groot is, dan is alleen de TPLO geïndiceerd.
Bij grote en zware honden groter dan 40 kg lichaamsgewicht, is de TPLO veiliger, er is namelijk minder kans op uitbreken.

Post operatief (na de operatie)
Na de operatie is er een revalidatie periode noodzakelijk. De eerste 14 dagen na de operatie moet er absolute bench- of hok-rust gegeven worden. Dat houdt in dat uw hond alleen voor behoefte (aan korte lijn) naar buiten mag en daarna weer bench-rust moet krijgen. De 8 weken daarna krijgt u een bewegings-schema mee waarbij de hond aan de korte lijn langzaam steeds iets meer mag lopen. Acht weken na de operatie zullen er röntgenfoto’s gemaakt worden om te controleren of er een goed herstel is.
Iedere patiënt revalideert verschillend. Er zijn vele factoren die invloed hebben op de revalidatie van een TPLO behandeling. De leeftijd speelt een grote rol, bij een oudere hond verloopt de revalidatie vaak langzamer. De artrose die aanwezig op het moment van operatie heeft ook invloed op het sneller of trager verloop van het herstel. Als er langer wordt gewacht met een operatie van een (gedeeltelijke) kruisbandscheuring dan zal de revalidatie langer duren, omdat er meer artrose is ontstaan in het kniegewricht. Ook het gewicht van de hond is belangrijk; lichte honden revalideren beter dan (te) zware honden.
Complicaties TPLO
Helaas kunnen er altijd complicaties voorkomen, ook bij de nieuwe zaag technieken indien deze goed uitgevoerd zijn.
- De meniscus kan scheuren na de operatie, dan moet er helaas weer een operatie uitgevoerd worden om de meniscus te behandelen.
- De wond kan geïnfecteerd raken, vaak komt dat door likken of bijten aan de wond.
- Soms treedt er overbelasting van de knieband op, dan zal er langer rust en medicatie noodzakelijk zijn.
- Er kan (onder de huid) een wondvocht opstapeling optreden (seroma vorming)
- Het implantaat kan irritatie geven.
- De schroeven kunnen soms loskomen.
U kunt onze kliniek op telefoonnummer 0487-592233 bellen om een vrijblijvende telefonische afspraak bij één van de orthopedische chirurgen.
Tags: